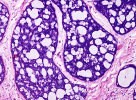
Adenoid Cystic Carcinoma of the Breast: A Multi-institutional Case Series and Review of Literature
Dileo R*, Keshava VE, Kumar SA, et al. (USA)
Carcinoma en Cuirasse Following Bilateral Mastectomy for Breast Cancer: A Case Report
Corneille ST*, Evrard S, Stephane K, et al. (Côte d’Ivoire)
A Rare Case of Male Invasive Lobular Breast Cancer
Stephens C*. (USA)
Unicentric Axillary Castleman Disease: A Case Report
Fischetti V*, Valerii C, Palamara F, et al. (Italy)
Vitiligo-Like Depigmentation as a Rare Adverse Effect of Ribociclib in Metastatic Breast Cancer
Peddireddy J, Gokulanathan N,
Sathyanarayanan V*, et al. (India)
Coexistence of a Malignant Phyllodes Tumor of the Breast with Heterologous Elements (Osteosarcoma and Chondrosarcoma) and Invasive Ductal Carcinoma: Case Report and Review of the Literature
Ashjian N, Mehrabi C, Dickinson B*, et al. (USA)




